Imágenes precisas para diagnósticos exactos
Procesos optimizados para una experiencia eficiente.
Resolución excepcional, adaptado a cada paciente para diagnósticos más precisos.
Resultados digitales en tiempos récord, olvídate de las entregas en 7 días.
Equipos de última generación para un mejor diagnóstico.
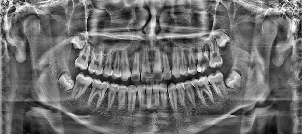
Realizamos radiografías extraorales e intraorales: panorámicas, laterales de cráneo, PA AP, carpal, senos maxilares y ATM, con ajustes de resolución personalizados para cada paciente, tanto niños como adultos.
Contamos con el volumen FOV más grande del mercado (21x16), ideal para planificación de cirugía maxilofacial y análisis craneofacial. Además, ofrecemos una resolución de hasta 75 μm en volúmenes pequeños (5x5), permitiendo visualizar los detalles más finos en tratamientos de endodoncia.
Realizamos fotografía intraoral y extraoral con la mejor calidad en la ciudad, permitiendo un registro preciso para seguimiento de tratamientos.
Capturamos modelos precisos sin necesidad de materiales convencionales, mejorando la experiencia del paciente y optimizando los procesos de diagnóstico y tratamiento.
Fabricamos modelos de estudio en resina que no se deforman ni derriten, ideales para encerados, guías quirúrgicas, guardas y más.
Boulevard 22 Sur 4325 local 8, Villa Carmel, CP 72567. Puebla, Puebla
Lunes- Viernes
9:00 - 19:30
Sábados
9:00 - 13:30